Orthodontie enfant

L’orthodontie enfant à Rungis permet d’accompagner la croissance harmonieuse du sourire dès les premières étapes du développement. Avec le Dr Kévin MAHOUN, proche d’Orly, Vitry-sur-Seine et Antony, l’objectif est de corriger la position des dents, de guider l’évolution des mâchoires et d’assurer une mastication équilibrée, souvent dès l’apparition des dents définitives.

Selon les besoins, nous pouvons proposer plusieurs types d’appareils : appareils amovibles, fixes, aligneurs transparents, dispositifs fonctionnels ou de contention. Chacun remplit une fonction précise dans le parcours orthodontique.

appareils amovibles croissance Orthodontie enfant Dr Kévin MAHOUN - Orthodontiste à Rungis

Orthodontie à Rungis, proche d’Orly, Vitry-sur-Seine et Antony

Votre orthodontiste spécialiste, le Dr Mahoun, et son équipe vous accueillent au :
10 bis rue du Séminaire, 94550 Chevilly-Larue

Pourquoi consulter un orthodontiste ?

L’enfance est une période clé pour intervenir sur la position des dents et la croissance des mâchoires. Durant cette phase, les os sont encore malléables et les corrections sont plus simples.

Il est recommandé de réaliser un premier bilan orthodontique autour de 6-8 ans, lorsque les dents définitives commencent à apparaître.

Une consultation en orthodontie enfant à Rungis peut permettre de :

  • Détecter un manque de place pour les dents définitives
  • Corriger un décalage entre la mâchoire du haut et du bas
  • Traiter les mauvaises habitudes (succion du pouce, respiration buccale)
  • Prévenir des traitements plus lourds à l’adolescence

Un traitement précoce n’est pas toujours nécessaire, mais un suivi régulier permet d’intervenir au moment le plus adapté.

Appareils pour enfants à Rungis

En orthodontie enfant à Rungis, les traitements sont adaptés à l’âge de l’enfant, à son stade de croissance et à la nature des déséquilibres dentaires ou osseux observés. L’objectif est d’intervenir au moment le plus favorable pour guider le développement des mâchoires, aligner les dents et prévenir des complications futures.

Un traitement orthodontique précoce peut permettre d’éviter des extractions, de limiter la durée d’un traitement à l’adolescence ou d’améliorer durablement la fonction masticatoire et respiratoire.


🔹 Les appareils amovibles de croissance

orthodontie enfants plaque palatine Orthodontie enfant Dr Kévin MAHOUN - Orthodontiste à Rungis

Les appareils amovibles sont principalement utilisés en orthodontie interceptive, c’est-à-dire lorsque l’enfant est encore en pleine croissance. Ils permettent d’agir tôt pour éviter l’aggravation de certains problèmes.

Parmi les sous-traitements possibles :

  • Plaques amovibles d’expansion : pour élargir une arcade trop étroite et créer de l’espace pour les dents définitives.
  • Disjoncteur palatin : utilisé lorsque le palais est trop étroit, afin d’élargir progressivement la mâchoire supérieure.
  • Appareils de rééducation fonctionnelle : pour corriger une mauvaise position de la langue, une respiration buccale ou certaines habitudes comme la succion du pouce.
  • Mainteneurs d’espace : lorsque des dents de lait sont perdues prématurément, afin de préserver la place pour les dents définitives.

Ces appareils doivent être portés selon les recommandations du praticien pour garantir leur efficacité.


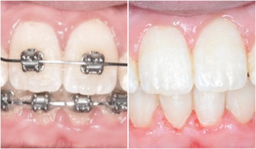
🔹 Les appareils fixes (Appareils multi-attaches)

Lorsque les dents permanentes sont présentes, les bagues orthodontiques permettent une correction précise et contrôlée de l’alignement dentaire.

Les appareils fixes permettent un repositionnement progressif des dents afin d’améliorer à la fois l’esthétique et la fonction.

appareils fixes appareils multi attaches Orthodontie enfant Dr Kévin MAHOUN - Orthodontiste à Rungis

Les indications fréquentes :

  • Dents chevauchées
  • Espaces excessifs entre les dents
  • Rotations dentaires
  • Problèmes d’occlusion (mauvais emboîtement des dents)

Les sous-options possibles :

  • Bagues métalliques classiques
  • Attaches céramiques plus discrètes
  • Arcs thermiques à mémoire de forme pour des mouvements progressifs et confortables


🔹 Les dispositifs fonctionnels pour corriger les décalages des mâchoires

Les dispositifs fonctionnels sont indiqués lorsque l’enfant présente un décalage entre la mâchoire supérieure et la mâchoire inférieure (classe II ou classe III).

dispositifs fonctionnels Orthodontie enfant Dr Kévin MAHOUN - Orthodontiste à Rungis

Ils peuvent comprendre :

  • Appareils de type Herbst ou Twin Block
  • Activateurs de croissance mandibulaire
  • Propulseurs mandibulaires

Ces dispositifs permettent de stimuler ou freiner la croissance d’une mâchoire afin de rétablir un équilibre facial harmonieux. Ils sont particulièrement efficaces pendant les pics de croissance.


🔹 L’expansion palatine et correction des articulés croisés

Lorsque l’arcade supérieure est trop étroite, une expansion palatine peut être mise en place.

Elle permet :

  • D’élargir le palais progressivement
  • De corriger un articulé croisé (dents du haut qui ferment à l’intérieur des dents du bas)
  • D’améliorer parfois la respiration nasale

Ce traitement est souvent rapide et très efficace chez l’enfant en croissance.

expansion palatine Orthodontie enfant Dr Kévin MAHOUN - Orthodontiste à Rungis

🔹 La phase de finition et la contention

Après la phase active du traitement, une période de finitions permet d’optimiser l’alignement et l’occlusion.

Ensuite, la contention orthodontique est indispensable pour stabiliser les résultats. Elle peut être :

  • Fixe (fil collé derrière les dents)
  • Amovible (gouttière portée la nuit)

La contention permet d’éviter les récidives et de maintenir durablement les bénéfices du traitement.

Chaque traitement en orthodontie enfant à Rungis est entièrement personnalisé par le Dr Kévin MAHOUN, en tenant compte de l’âge, du stade de croissance, de la dentition et des besoins spécifiques de l’enfant. Un suivi régulier permet d’adapter les appareils au fil de l’évolution, afin d’assurer des résultats durables, fonctionnels et esthétiques.

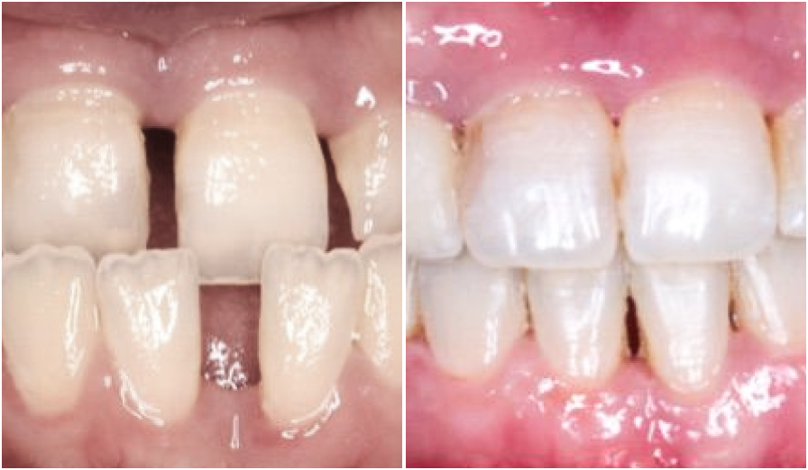
Cas orthodontiques enfants à Rungis

Avant / Après en photos et en vidéos – Dr Kévin MAHOUN


Découvrez nos cas cliniques avant/après en photos et en vidéos, réalisés par le Dr Mahoun. Ces exemples illustrent les résultats obtenus chez nos patients enfants, adolescents et adultes, grâce à des traitements personnalisés (multi-attaches, gouttières invisibles, orthodontie interceptive…).

Chaque sourire est unique : ces cas cliniques vous permettent de visualiser concrètement l’évolution et la transformation après traitement orthodontique :

Orthodontiste à Rungis

Dr Kévin MAHOUN – proche d’Orly, Vitry-sur-Seine et Antony

Vous pouvez prendre rendez-vous par téléphone ou via Doctolib :


FAQ – Orthodontie enfant à Rungis


À quel âge consulter pour une orthodontie enfant à Rungis ?

Il est recommandé de réaliser un premier bilan orthodontique vers l’âge de 6 à 8 ans, lorsque les dents définitives commencent à apparaître. Même si aucun traitement n’est nécessaire immédiatement, cette consultation permet de surveiller la croissance et d’intervenir au moment le plus adapté.


Mon enfant a-t-il forcément besoin d’un appareil dentaire ?

Non, tous les enfants n’ont pas besoin d’un traitement orthodontique précoce. Lors du bilan, le Dr Kévin MAHOUN évalue l’alignement des dents, la croissance des mâchoires et l’occlusion. Un simple suivi peut parfois suffire avant d’envisager un appareil dentaire.


Combien de temps dure un traitement en orthodontie enfant ?

La durée varie selon la situation. Un traitement interceptif peut durer de 6 à 18 mois. Si un traitement complet avec bagues est nécessaire plus tard, il peut s’étendre sur 12 à 24 mois. Chaque plan est personnalisé selon la croissance de l’enfant.


Les appareils orthodontiques sont-ils douloureux ?

Un léger inconfort peut apparaître après la pose ou les ajustements, mais il est généralement temporaire. Les appareils modernes sont conçus pour être progressifs et confortables. L’équipe du cabinet accompagne l’enfant pour que le traitement se déroule dans les meilleures conditions.


Le cabinet est-il proche de Rungis ?

Oui, le cabinet du Dr Kévin MAHOUN, orthodontiste proche de Rungis, Orly, Vitry-sur-Seine et Antony, est situé au :

📍 Adresse :
10 bis rue du Séminaire, 94550 Chevilly-Larue
Dans le bâtiment du Centre Médical et Dentaire des Halles

📞 01 46 87 36 18
📝 Prise de rendez-vous via Doctolib